빠르고 안전하게,
건강한 치아를 지키는
충치치료

충치는 초기에는 통증이 없더라도 방치하면
치아 손상이 심해질 수 있습니다.

웃는얼굴치과에서는 최신 장비와 검증된 재료를 사용하여
충치를 정확히 제거하고,
자연스러운 모양과 색으로 채워
건강한 치아 기능을 회복시켜드립니다.

최소 침습 치료로 통증과 부담을 줄이고,
장기적인 치아 건강을 지키는 것이 목표입니다.

10년간의 보존과
전문의 수련기간
자연치아 살리기 전문가,
보존과 전문의

치과 전문의 기준 예과 2년 본과 4년
인턴1년 레지던트 3년 총 10년 이상
치아에 대해 공부를 했던 치과의사들은 치아 관리에 있어서도
그 어느 누구보다도 전문가입니다
하지만 그런 전문가들도 충치가 생겨서 충치치료를 하거나
충치가 심해지면 신경치료를 하는 경우도 종종 있습니다.

그 누구보다도 치아에 까다로운 치과의사들은
과연 본인 치아치료를 어떻게 받을까요?

치과의사는
신경치료를
누구한테 받나요?

현직 치과의사들을 상대로 설문을 해보면
10명중에 9명 이상은 모두 동일한 대답을 합니다.

"치과 보존과 전문의에게 진료를 받고 싶다."

우리는 임플란트 교정 같은 치료는 중요하게 생각하지만
충치치료나 신경치료는 상대적으로 가볍게 여기는 경향이 있는데
치아 전문가인 치과의사들은 절대 그렇게 생각하지 않습니다.
자연치아를 아끼고 보존 하는일이 얼마나 가치 있는 일인지는
치과의사이기 때문에 너무 잘 알고 있기 때문입니다.

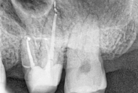
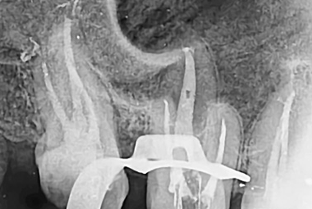
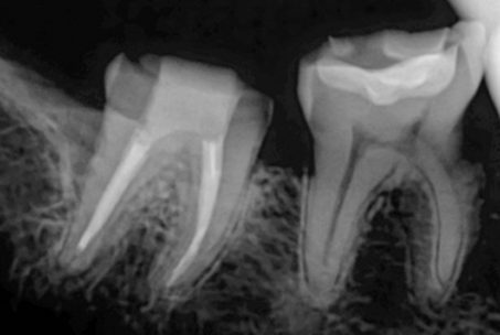
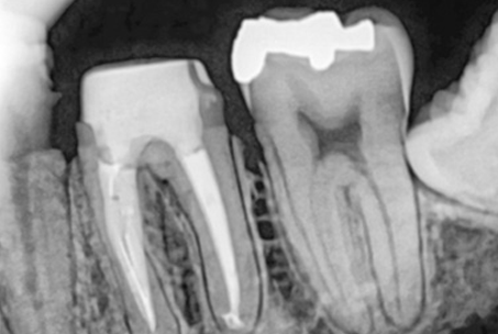
같은 치과의사가
보면 압니다!

위 사진들은 현직 치과의사들이
저희 웃는얼굴 치과에서 치료 받은 실제 사례들입니다.

비 전문가 눈에는 그냥 흔한 엑스레이 사진일 뿐이겠지만
치과의사들이라면 알아챕니다.
저 치료가 얼마나 난이도 있는 치료였는지,
얼마나 정성이 들어갔는지를 말이지요.

임플란트를 심으면
되지않나요?
자연치아보다
좋은 것은 없습니다!

임플란트 시술은 자연치아를 살릴 수 없을 때 취하는 마지막 수단입니다.

임플란트 수가가 많이 낮아진 요즘 고생하면서 치아를 굳이
살릴 필요가 있나 라고 생각하시는 분들도 많으시겠지만
제 아무리 임플란트를 훌륭하게 심는다고 하더라도
자기 치아를 살려서 쓰는 것 만큼 가치 있는 일은 없을 것입니다.

  • STEP 01
    법랑질 충치
    • 치아 겉면(법랑질)에 발생
    • 통증은 없으나 정기검진 및
      예방치료 필요
    정기검진 / 불소도포
  • STEP 02
    상아질 충치
    • 치아 안쪽(상아질)에 충치가
      자각 되는 시기
    • 진행이 빨라지며 썩는 냄새 유발
    • 찬 공기나 물에 접촉시 통증 발생
    • 충전물 수복치료 진행
    최소치아삭제 / 레진
  • STEP 03
    치수염 충치
    • 치아신경(치수)에 염증 발생
    • 심한 치통 반복
    • 치료 중간 통증이 멈추지만 재발
      가능성이 높아 꾸준한 치료 필요
    인레이 / 온레이
  • STEP 04
    치수 괴사
    • 치아 뿌리까지 염증 발생
    • 괴사 시 초기에 극심한 치통 발생
    • 신경치료 또는 심한 경우 발치 후
      임플란트 수술 진행
    신경치료 / 크라운

웃는얼굴치과의
재신경치료

과거 신경치료를 받았음에도 통증이나
염증이 재발한 경우, 재신경치료를 통해
치아 내부 감염을 깨끗이 제거하고
치아 구조를 최대한 보존할 수 있습니다.

신경치료 후에도 여전히 아프다면?
재신경치료를 고려해야 합니다

크라운과 기존의 신경관 충전물질을 제거 후
다시 신경치료를 진행하는 술식입니다.

일반적인 신경치료보다 어렵고 성공률이 떨어지기 때문에
전문적인 치료가 필요합니다.

특히 신경관이 막혀있거나 신경관에 POST가 박혀있는 경우
재신경 치료의 난이도는
매우 높아지며, 많은 환자분들이
재신경치료가 불가능하다며 발치를 권유 받습니다.



하지만 웃는얼굴치과에서는 특수 초음파 기구로 막힌
신경관을 찾거나
신경관에 박혀있는 POST를 제거한 후
재신경치료를 하여
환자분들의 치아를 살려드리고 있습니다.

재신경 치료,
어떤 분께 필요한가요?
  • 신경치료가 제대로 마무리 되지 않은 경우
  • 치료한 치아 주변에 충치가 다시 생겨
    세균에 감염된 경우
  • 신경이 제대로 제거되지 못하고 남아있는 경우
  • 보철물을 오랫동안 장착하지 않고 방치한 경우

웃는얼굴치과의
치근단절제술

치근단절제술은 기존 신경치료 후에도 염증이 남아 있는 경우,
치아 뿌리 끝 부위를 정밀하게 제거하고
깨끗하게 소독하여 치아를 보존하는 치료입니다.

신경치료,
재신경치료 후에도 여전히 아프다면?

염증의 원인을 제거합니다!

외과적 신경치료라 불리는 치근단 절제술은

재신경치료가 불가능한 경우에 행해지는 전문적인 시술입니다.



잇몸을 열고 염증의 원인이 되는 치아뿌리를 3MM 잘라낸 후
MTA라는 특수충전재료로
뿌리 끝부분을 충전하는 술식입니다.

치근단절제술은 치근단절제술 전용 특수기구와 MTA라는
특수재료를 사용해야만
제대로 된 치료가 이뤄질 수 있습니다.

치근단절제술,
어떤 분께 필요한가요?
  • 신경관이 완전히 막혀있어
    재신경 치료가 불가능한 경우
  • 여러번 내원이 어려워
    한번의 시술로 끝내고 싶은 경우
  • 크라운의 상태가 양호하여
    교체하길 원하지 않는 경우
  • Post가 너무 강하게 박혀있어
    재신경 치료가 불가능한 경우

웃는얼굴치과의
치아재식술

환자 본인의 치아를 활용하여 자연스러운 기능과 심미성을 회복하며,
뼈와 잇몸 구조에 최적화된 맞춤 치료로
장기적인 치아 건강을 유지할 수 있도록 합니다.

소중한 자연치아
너무 쉽게 포기하지 마세요!

마지막으로 자연치아를 살리는 방법

치근단절제술이 불가능한 큰 어금니의 경우 치아를 발치한 후
구강 밖에서
염증의 원인이 되는 치아뿌리를 3MM 잘라낸 후

MTA라는 특수 충전재료로 뿌리 끝부분을 충전하는 술식입니다.



치아재식술은 치아뿌리가 벌어진 경우, 발치시 치아가 파절될 가능성이

매우 높기 때문에 뿌리가 벌어진 정도를 3D CT로 확인해야 합니다.

웃는얼굴치과는 3D CT를 이용하여 보다 전문적으로
치아재식술을 시행하고 있습니다.

재신경 치료,
어떤 분께 필요한가요?
  • 어금니처럼 치아가 깊은 곳에 위치한 경우
  • 접근각도 문제로
    치근단절제술이 불가능한 경우
  • 신경관이 막혔거나
    치료를 오랫동안 하지 않은 경우
  • 치근단 염증이 심하게 진행된 경우

하루만에 완성하는
원데이 세렉 보철물
제작과정

3D원데이 세렉을 이용하여 하루 만에 충치치료 및
보철물을 완성하는 시스템입니다.
임시약재를 채워놓고 기다리지 않아도 되기 때문에
기간이 절약될 뿐만 아니라 치아에 더욱 자연친화적입니다.

최신 CAD/CAM 장비로 하루만에 보철물 제작이 가능합니다.

01 치아 디지털 스캔

세렉 장비를 사용,
환자의 구강 내에서
직접 스캔하여 인상 채득합니다.

02 디지털 디자인

컴퓨터로 전송된
데이터를 바탕으로
수복물을 디자인 합니다.

03 보철물 제작

치아의 미세한 굴곡까지 세밀하게
표현이 가능한 밀링 머신으로
30여분이면 완성됩니다.

04 미세조정

자체기공실에서 전문 기공사가
미세 조정 작업 후 완성합니다.

REAL
REVIEW
웃는얼굴치과 리얼스토리

View more
빠른상담신청
[보기]
Contact
031-231-2879
월, 화, 목
AM 10:00 - PM 07:00
수, 금
AM 10:00 - PM 09:00 (야간진료)
점심시간
PM 01:00 - PM 02:00
토 요 일
AM 10:00 - PM 02:00

* 공휴일 및 일요일은 휴진입니다.

* 토요일은 점심시간 없이 진료힙니다.

Location

경기도 수원시 팔달구 권광로199
세영빌딩 5층 웃는얼굴치과

  • [ 지하철 ] 수원시청역 8번출구 방면,
    스타벅스 인계점 건물 5층
  • [ 버스 ] '중소기업은행' 하차
    맞은편 '뉴코아아울렛' 하차
주차안내
건물 내 지하 7층 대형주차장 완비
  • 주소 : 경기도 수원시 팔달구 권광로199 세영빌딩 5층 웃는얼굴치과
  • 대표 : 강혁권
  • 사업자등록증번호 : 365-19-00535
  • TEL : 031-231-2879
  • FAX : 031-231-2878
COPYRIGHT © SMILE FACE DENTAL. ALL RIGHTS RESERVED.